Scoliosis
About
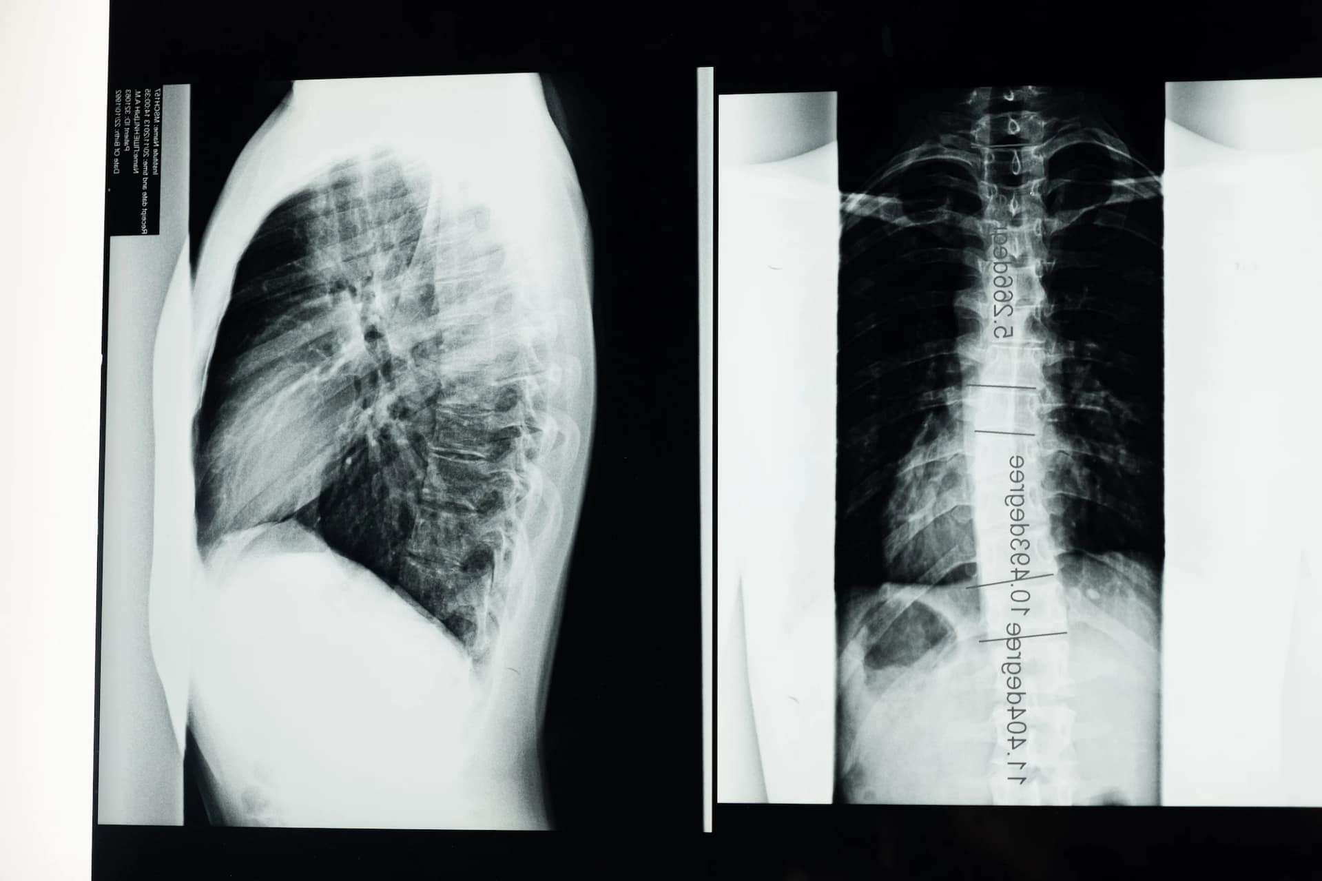
Scoliosis is a progressive, lateral curvature of the spine. When viewed from the side, the spine should have curves. But when viewed from the front, the spine should be straight. Scoliosis can affect both children and adults. Scoliosis is more than 10 degrees of curve, with rotation of the vertebrae.


Types of Scoliosis
The most common type of scoliosis is “adolescent idiopathic scoliosis”. Idiopathic means “of unknown origin”. Research into the cause of scoliosis suggests that there may be a genetic factor which affects the control of the growth of the spine.
Scoliosis can affect both children and adults. In young children it is a very serious condition as it can rapidly progress as the child grows.
Scoliosis is usually first detected in children between the ages of 11 and 15. However, it can occur in younger children aged 3 to 10 years (juvenile scoliosis) and
in babies (infantile scoliosis). Scoliosis can also occur in adults with no previous history, due to spinal degeneration and advancing age. This is called De Novo Scoliosis
The symptoms of scoliosis include:
- Poor posture
- Shoulder humping
- Muscle weakness
- Pain
- Heart and lung problems (when advanced)


Early diagnosis is key
It is important to have children regularly checked for scoliosis. If detected early enough, there is greater scope for treatment. The first hint that scoliosis may be developing is the appearance of abnormal posture. Slouching, one shoulder higher than the other, one hip higher than the other, or uneven shoulder blades are all signs that a person might have scoliosis.
There are treatments available
If your child is diagnosed with idiopathic scoliosis, it is important to remember there are a number of treatment options available. When diagnosed early, scoliosis symptoms can often be avoided and correctional improvements made all while children live normal lives.

Scolosis Chiropractic Treatment In Preston 
Scoliosis Chiropractor Preston & Massage Therapy Preston.
We house the best Chiropractors in Preston and massage in preston that help Scoliosis.
We provide Chiropractic and massage therapy to all local Preston residents with Scoliosis and surrounding communities including Fairfield, Northcote, Heidelberg, Pascoe Vale, Coburg, Ivanhoe, Heidelberg Heights, Reservoir, Thomastown & Thornbury.
Local Chiro & Massage servicing the Preston, Thornbury, Reservoir, Northcote, Pascoe Vale and Coburg areas.
Clinic Locations
We have two locations:
Contact Us
You can book an appointment online here:
Trading Hours
Our clinics are open the following hours:
- Weekdays: 8am – 9pm
- Saturdays: 7.30am – 6pm
- Sundays: 9am – 6pm
Health Insurance
We have a HICAPS terminal onsite that can apply real time rebates for Australian private health insurance funds.
Service Area For Scolosis Chiro
We provide Chiropractic care to all local Preston residents and surrounding communities including Fairfield, Northcote, Heidelberg, Pascoe Vale, Coburg, Ivanhoe, Heidelberg Heights, Reservoir, Thomastown & Thornbury.
Your Scolosis Relief Experience 
Located close to the border of Preston and Thornbury, Advanced Health Chiropractic provides outstanding and holistic chiropractic, massage and clinical pilates care in a warm and inviting space.
New Patients
- Early Morning and Late Appointments
- Long 30- 45 minute Chiro consultation times
- Australian Olympic team massage therapist working on site
- Massage appointments starting at $60.00
- Weekend Appointments
- Our Chiropractor in Preston treats the root causes of Scoliosis injury and biomechanical dysfunction, not just the symptoms using scientific evidence based treatments
What to expect during your first visit?
We charge $70 for all Chiropractic appointments. Your 1st appointment is $70 and if required, any subsequent appointments are $70. This is not including private health insurance rebates. At Advanced Health a 30-45 minute Chiropractic treatment can include: Chiropractic adjustments, Massage, Dry Needling/Acupuncture, spinal traction (ideal for disc injuries), Taping and Clinical Reformer based Pilates.
The Best Chiropractor in Preston for Scoliosis
When looking to find a good chiropractor or a chiropractor near me who is great at treating Scoliosis, use a trusted family/friend’s recommendation and/or review websites to find a chiropractor in Preston you can trust. Perhaps read our reviews on google before you make a decision.
Conditions
Here is a list of common injuries we treat:
Chiropractic Scoliosis relief in Preston



